Clear aligners are nearly invisible, unlike traditional braces that give a metallic appearance.
¿Cómo mantener tus Hábitos de Higiene Oral?
Clear aligners are nearly invisible, unlike traditional braces that give a metallic appearance.
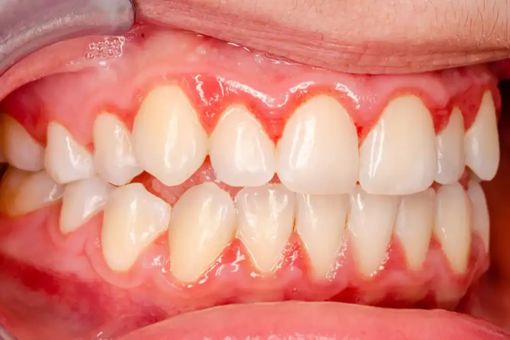
¿Por qué me sangran las encías? Causas, tratamiento y prevención
¿Te sangran las encías al cepillarte o al comer? No deberías ignorarlo. Este síntoma, aunque común, puede ser una señal...


