Cuando se ha producido la pérdida total de los dientes, una de las mejores soluciones para recuperar la función masticatoria y la estética es la prótesis removible sobre implantes, también conocida como sobredentadura.
Este tipo de prótesis es una excelente alternativa para pacientes que llevan dentaduras postizas convencionales y sienten molestias al comer o hablar debido a la falta de sujeción. Gracias a los implantes dentales, la sobredentadura queda firmemente fijada, proporcionando mayor estabilidad y comodidad en el día a día.
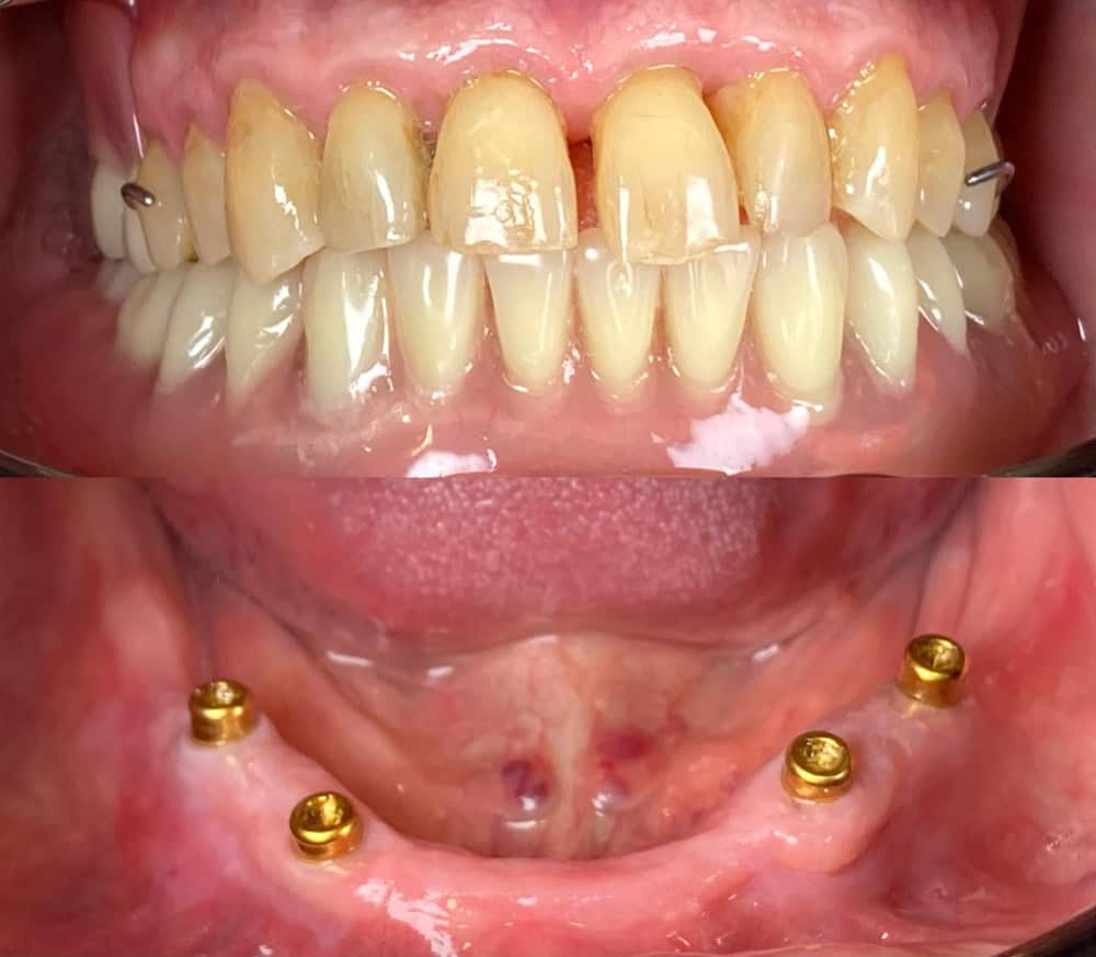
¿Cómo funciona la sobredentadura?
El procedimiento consiste en la colocación de cuatro implantes en la parte superior y dos a cuatro en la parte inferior. Una vez finalizado el proceso de osteointegración (cuando el implante se une al hueso), se colocan dispositivos de retención que sobresalen de la encía y permiten que la prótesis quede anclada de forma segura.
Este sistema evita los movimientos indeseados de la prótesis y permite retirarla fácilmente para su limpieza y mantenimiento.
En VOLCODENT CLÍNICA DENTAL, tras un diagnóstico detallado con la Dra. Ramos, te asesoraremos sobre la mejor opción de tratamiento para recuperar la salud, funcionalidad y estética de tu sonrisa.
Beneficios de la sobredentadura
- Mayor estabilidad y ajuste en comparación con las prótesis convencionales
- Mejora la masticación y la fonación al evitar movimientos inesperados
- Mayor comodidad y seguridad en el día a día
- Fácil mantenimiento e higiene
¿Qué incluye el tratamiento de sobredentadura?
✔Aditamentos protésicos
✔ Impresiones
✔ Prueba de rodetes de mordida para determinar la posición correcta
✔ Prueba de dientes para asegurar ajuste y estética óptimos
✔ Colocación de la sobredentadura sobre los implantes
Recuperar tus dientes perdidos es una inversión en calidad de vida. En VOLCODENT CLÍNICA DENTAL, te ofrecemos las mejores soluciones personalizadas para que vuelvas a sonreír con confianza.
📅 ¿Quieres asesoramiento personalizado con la Dra. Ramos?
Pide tu cita gratis y recibe un diagnóstico detallado.
📞 928 124 960 | 628 547 236
📍 Avda. de la Hoya, 8, Bajo B, Carrizal, Ingenio.
¿Por qué elegirnos?
- Revisión dental gratuita
- Más de 25 años cuidando de ti
- Tu dentista en Carrizal de confianza
- Profesionales altamente cualificados
- Mejores materiales del mercado
- Te asesoramos con el mejor plan de tratamiento
- Compromiso en tu tratamiento, con nosotros y contigo
- Buscaremos siempre la mejor solución
- Estaremos siempre para ti
La protección y restauración de los dientes es una inversión en tu salud y bienestar. En VOLCODENT CLÍNICA DENTAL, te ofrecemos soluciones personalizadas con materiales de máxima calidad para que recuperes tu sonrisa con seguridad.
