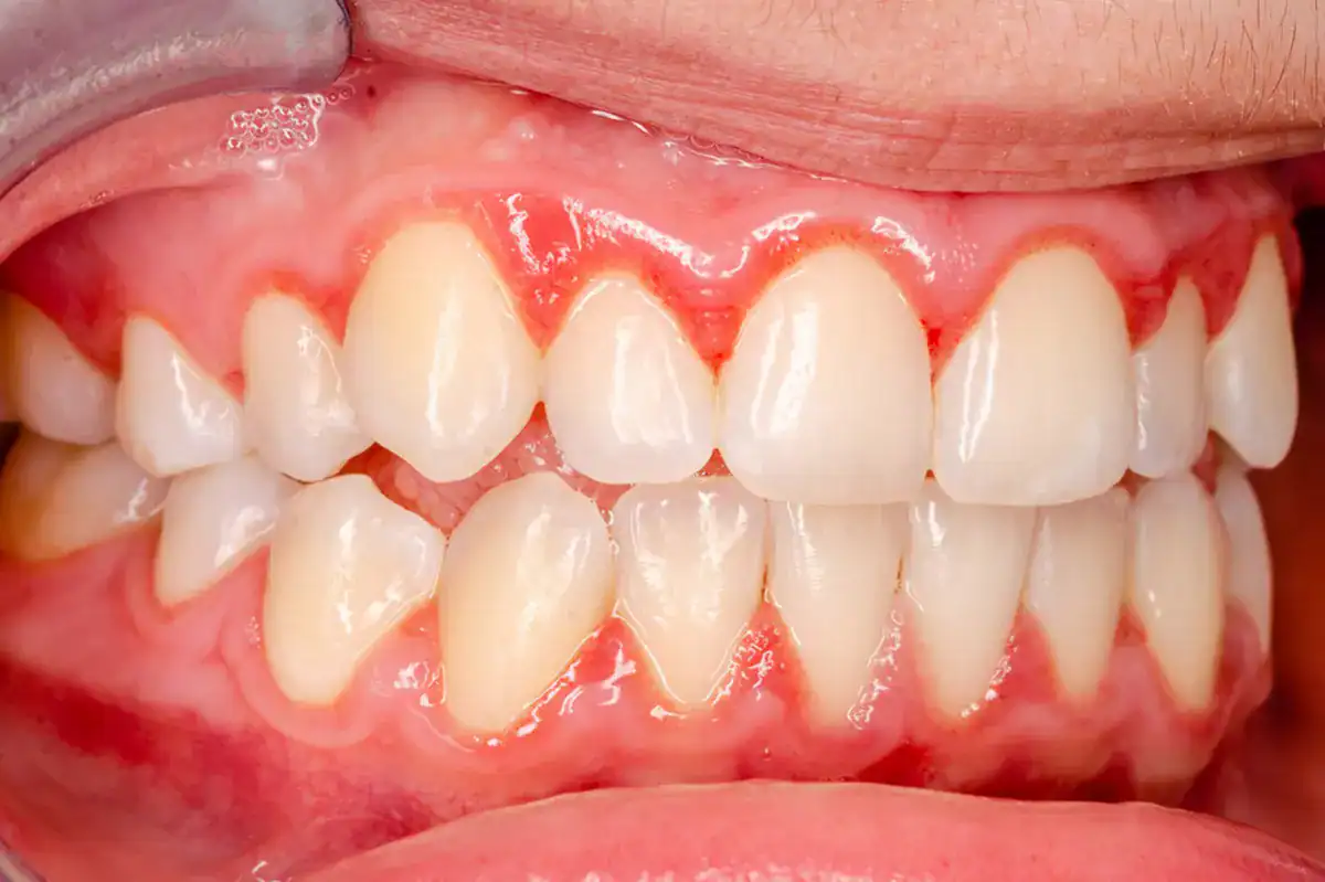
¿Notas tus encías inflamadas, rojas o sangrantes al cepillarte?
Este síntoma, que muchas personas tienden a normalizar, puede ser la señal de alerta de un problema mayor: gingivitis o, en etapas más avanzadas, periodontitis.
En VOLCODENT CLÍNICA DENTAL, sabemos que la salud de tus encías es igual de importante que la de tus dientes. Las encías son el tejido que sostiene a las piezas dentales, y si están dañadas o inflamadas, pueden poner en riesgo toda la estructura bucal.
Causas más comunes del sangrado de encías
Acumulación de placa bacteriana: si no se elimina adecuadamente con el cepillado y el uso del hilo dental, puede inflamar las encías.
Cepillado inadecuado: usar un cepillo muy duro o técnicas agresivas puede irritar el tejido gingival.
Cambios hormonales: en etapas como el embarazo o la adolescencia, las encías son más propensas a inflamarse.
Enfermedades sistémicas: algunas condiciones médicas, como la diabetes, afectan directamente a la salud de las encías.
Tabaquismo: reduce el flujo sanguíneo en la encía, camufla la inflamación y empeora su salud.
¿Qué puedo hacer si me sangran las encías?
No ignores el síntoma. El sangrado de encías no es normal.
Solicita una cita para valoración profesional. En nuestra clínica realizamos un diagnóstico completo y te explicamos qué está ocurriendo.
Mejora tu higiene bucodental: en algunos casos, un refuerzo de tu rutina de limpieza será suficiente, siempre guiado por un especialista.
Tratamiento periodontal: si el problema es más avanzado, puede ser necesario realizar limpiezas profesionales o raspados y alisados radiculares.
Preguntas frecuentes sobre encías inflamadas o sangrantes
¿Es normal que las encías sangren al cepillarse?
No, el sangrado de encías durante el cepillado no es normal. Puede ser un signo de gingivitis o de una técnica de cepillado inadecuada. Es importante consultar a un profesional para determinar la causa y recibir el tratamiento adecuado.
¿Qué puedo hacer en casa para mejorar la salud de mis encías?
Mantener una buena higiene bucal es fundamental. Esto incluye cepillarse los dientes al menos dos veces al día con un cepillo de cerdas suaves, usar hilo dental diariamente y enjuagues bucales recomendados por tu dentista. Además, evitar el tabaco y llevar una dieta equilibrada contribuyen a la salud de las encías.
¿Con qué frecuencia debo visitar al dentista si tengo problemas en las encías?
Si presentas síntomas como sangrado o inflamación de encías, es recomendable acudir al dentista lo antes posible. Dependiendo del diagnóstico, tu dentista puede sugerir visitas más frecuentes para realizar limpiezas profesionales y monitorear la salud periodontal.
¿Las encías inflamadas pueden afectar mi salud general?
Sí, las enfermedades periodontales no tratadas pueden tener implicaciones en la salud general, incluyendo un mayor riesgo de enfermedades cardiovasculares y complicaciones en personas con diabetes. Por eso, es esencial abordar cualquier problema de encías de manera oportuna.
Lo importante es actuar a tiempo
En VOLCODENT ofrecemos una variedad de tratamientos para cuidar la salud de tus encías:
Periodoncia: Tratamiento especializado para enfermedades de las encías, como la gingivitis y la periodontitis.
Limpieza dental profesional: Eliminación de placa y sarro que no se pueden remover con el cepillado diario, ayudando a prevenir enfermedades periodontales.
Revisión y diagnóstico gratuito: Evaluación completa de tu salud bucal para detectar cualquier problema en etapas tempranas.
Nuestro equipo de profesionales está comprometido con tu bienestar y te proporcionará un plan de tratamiento personalizado para mantener tus encías saludables.
¿Por qué elegirnos?
- Revisión dental gratuita
- Más de 25 años cuidando de ti
- Tu dentista en Carrizal de confianza
- Profesionales altamente cualificados
- Mejores materiales del mercado
- Te asesoramos con el mejor plan de tratamiento
- Compromiso en tu tratamiento, con nosotros y contigo
- Buscaremos siempre la mejor solución
- Estaremos siempre para ti
La protección y restauración de los dientes es una inversión en tu salud y bienestar. En VOLCODENT CLÍNICA DENTAL, te ofrecemos soluciones personalizadas con materiales de máxima calidad para que recuperes tu sonrisa con seguridad.
