PIDE TU CITA


Reconstrucción Dental

Recupera la Función y Estética de tus Dientes

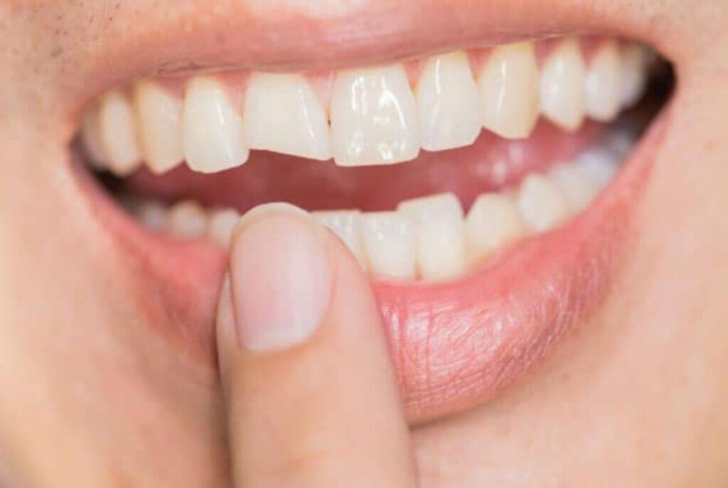
Las reconstrucciones dentales son procedimientos que permiten recuperar la estructura anatómica de un diente cuando ha sufrido una fractura, caries extensa o desgaste severo. Con este tratamiento, devolvemos la forma, tamaño y funcionalidad del diente, asegurando su resistencia y un resultado estético natural.

En VOLCODENT CLÍNICA DENTAL, utilizamos materiales de alta calidad para restaurar los dientes de manera segura y duradera, siempre priorizando la salud y estética de tu sonrisa.

¿Cuándo se necesita una reconstrucción dental?

Fracturas dentales: Cuando un diente ha sufrido un golpe o traumatismo.
Caries profundas: Si la caries ha afectado gran parte de la estructura dental.
Desgaste severo: En casos de bruxismo (rechinar de dientes) o erosión dental.
Pérdida de volumen dental: Para recuperar la forma y tamaño de un diente.

¿Cómo se realiza el tratamiento?

✔ Valoración y diagnóstico con radiografías para evaluar la afectación del diente.
✔ Limpieza y eliminación del tejido dañado para asegurar una base sana.
✔ Aplicación de resinas compuestas o materiales cerámicos para restaurar el diente.
✔ Moldeado y pulido para lograr un resultado natural y funcional.

Tipos de reconstrucciones dentales

Reconstrucción con composite: Se realiza directamente en clínica con un material estético que se adapta al color del diente.
Reconstrucción con incrustaciones: Se fabrican en laboratorio y ofrecen mayor durabilidad, ideal en casos donde se ha perdido gran parte del diente.
Reconstrucción post-endodoncia: Se realiza después de una endodoncia para reforzar el diente tratado.

Las reconstrucciones dentales permiten recuperar la funcionalidad y la estética de los dientes de manera rápida y efectiva.

📅 ¿Quieres asesoramiento personalizado?
Pide tu cita gratis y recibe un diagnóstico detallado.

📞 928 124 960 | 628 547 236
📍 Avda. de la Hoya, 8, Bajo B, Carrizal, Ingenio.

¿Por qué elegirnos?

  • Revisión dental gratuita
  • Más de 25 años cuidando de ti
  • Tu dentista en Carrizal de confianza
  • Profesionales altamente cualificados
  • Mejores materiales del mercado
  • Te asesoramos con el mejor plan de tratamiento
  • Compromiso en tu tratamiento, con nosotros y contigo
  • Buscaremos siempre la mejor solución
  • Estaremos siempre para ti

La protección y restauración de los dientes es una inversión en tu salud y bienestar. En VOLCODENT CLÍNICA DENTAL, te ofrecemos soluciones personalizadas con materiales de máxima calidad para que recuperes tu sonrisa con seguridad.

📅 ¿Quieres asesoramiento personalizado?